Transformando sorrisos com cuidado humanizado e atenção aos detalhes

Na clínica cuidamos do seu sorriso com a mais alta tecnologia e um atendimento humanizado, garantindo resultados excepcionais e uma experiência acolhedora.
Serei seu Dentista de confiança.

TRATAMENTO

Clareamento Dental

Por mais esquecida que seja, a cor do nosso dente conta muito sobre nós. Ser recebido com um sorriso branquinho e luminoso nos dá, inconscientemente, a sensação de cuidado, de zelo pela saúde em comparação com dentes, que por mais que estejam escovados, acabam sendo amarelados pela falta de um clareamento realizado no decorrer da vida. Um sorriso branco e luminoso, traz autoestima elevada ao paciente e a segurança de um sorriso bonito.

TRATAMENTOS

Outros procedimentos

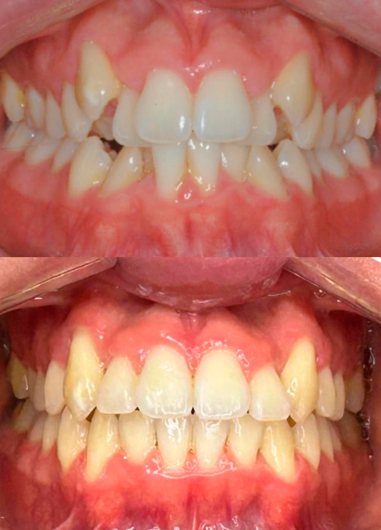
Ortodontia

Movimentação do dentes, tracionando eles para a posição mais adequada, corrigindo função, fala e estética.

Facetas

Restabelecem a anatomia ideal dos dentes, permitindo alterar cor e forma através de um estudo personalizado do sorriso do paciente.

BIOGRAFIA

Dr. Jefferson Lopes

Formado há 10 anos, comecei minha carreira na odontologia como professor de curso técnico e também atendi no serviço público de João Câmara. Durante esse período, especializei-me em Prótese Dentária pelo CPOG de Natal, consolidando meu conhecimento e experiência na área. Em seguida, fui contratado pela prefeitura de Angicos, onde permaneci por um curto período, pois já tinha planos ambiciosos para abrir meu próprio consultório.

Com dedicação e perseverança, inaugurei meu primeiro consultório na Zona Norte da cidade, o que me proporcionou a base necessária para expandir meus serviços. Hoje, estou estabelecido no bairro do Tirol, na Zona Sul, onde continuo a transformar sorrisos, sempre com um compromisso inabalável com a saúde e bem-estar dos meus pacientes.

© ️2024 Dr. Jefferson Lopes - Prótese e Odontologia Estética | Todos os direitos reservados

Atenção

Talvez você tenha chegado até essa página através de um anúncios sobre atendimento gratuito, que não foram feitos por nós! DENUNCIE!

NÃO fazemos atendimento pelo Brasil Sorridente! Apenas atendimento particular.